CIRUGÍA E IMPLANTES EN CLÍNICA DENTAL RASAL


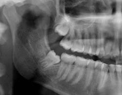
Cordales
La presencia de cordales incluidos o semiincluidos puede provocar problemas como: infección local (periocoronaritis, celulitis...), daños en piezas vecinas, mal posiciones dentarias. Se aconsejaría la exodoncia cuando el riesgo de las complicaciones hace necesaria su extracción y los beneficios son mayores.
Implantología
Es la rehabilitación de la pérdida de piezas dentales mediante la colocación de unas estructuras de titanio atornilladas al hueso (implantes) que más adelante servirán para soportar la prótesis adecuada a cada caso, que sería la que realice la función del diente perdido.
Es un tratamiento que respeta los dientes vecinos (no hay necesidad de tallarlos como al realizar un puente).

Elevación de seno
Cuando los dientes se han perdido hace tiempo, el hueso se reabsorbe y hay menos distancia a estructuras como el seno maxilar.
Una de las técnicas es la elevación de la membrana sinusal para poder hacer regeneración ósea y poder colocar implantes en una zona donde son necesarios.
