ESTÉTICA DENTAL EN CLÍNICA DENTAL RASAL

Blanqueamiento dental

 Los dientes tienen distintas tonalidades, incluso en una misma persona, el color también cambia con el paso del tiempo o por sustancias que se toman como (café, tabaco, té, regaliz,...). Con el blanqueamiento se intenta conseguir más claridad y luminosidad dental. Se utiliza el blanqueador mediante férulas hechas a medida para uso domiciliario o en clínica (con luz o láser).

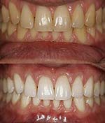
Carillas dentales

Las carillas son unas restauraciones con facetas de cerámica o composite que se coloca en la cara frontal (vestibular) de los dientes encaminados a mejorar la estética y sonrisa bucal sin la necesidad de tallar la pieza completa.